Hamid Rashidi, DDS
Family and Cosmetic Dentistry
Bellefontaine: (937) 592-0900
  • Bellefontaine Family and Cosmetic Dentist
  • Bellefontaine Dental Care
  • Bellefontaine Cosmetic Dentist
  • Bellefontaine Veneers and Implants
    • GENERAL DENTAL PROCEDURES
      • DENTAL CLEANINGS
      • COMPOSITE FILLINGS
      • AMALGAM FILLINGS
      • TOOTH EXTRACTIONS
    • COSMETIC DENTISTRY
      • TEETH WHITENING
      • DENTAL VENEERS
      • DENTAL BONDING
    • ADVANCED DENTISTRY
      • DENTAL IMPLANTS
      • DENTURES: FULL & PARTIAL
    • RESTORATIVE DENTISTRY
      • DENTAL INLAYS AND ONLAYS
      • PORCELAIN CROWNS
      • DENTAL BRIDGES
      • ROOT CANAL THERAPY
    • PREVENTATIVE DENTISTRY
      • PERIODONTAL (GUM) DISEASE
      • DENTAL EXAMS AND X-RAYS
  • Bellefontaine Crowns and Bridges
    • COSMETIC DENTISTRY
      • TEETH WHITENING
      • DENTAL VENEERS
    • RESTORATIVE DENTISTRY
      • PORCELAIN CROWNS
      • DENTAL BRIDGES
  • Dentist Bellefontaine Appointment Request
  • Family Dentist Bellefontaine Testimonials
  • Cosmetic Dentist Bellefontaine
  • Dentist 43311
  • Bellefontaine Ohio Dentist
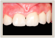
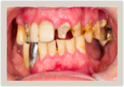
Bellefontaine Crowns and Bridges
Porcelain Crowns
Applied Procedures: Porcelain Crowns
P22836_ss8937bs_t P22836_ss8937ys_t
Before Photo After Photo
Applied Procedures: Porcelain Crowns
P22836_ss8938bs_t P22836_ss8938ys_t
Before Photo After Photo
Applied Procedures: Porcelain Crowns, Dental Bridges
P22836_ss8939bs_t P22836_ss8939ys_t
Before Photo After Photo
Appointment_request_image_sidebar_item
Family Dental Care
872 E Sandusky Ave
Bellefontaine, OH 43311
Phone: (937) 592-0900
More Information

CONTACT US
Fill out the contact form below and we will respond as soon as possible. By filling out this form, I consent to receive text messages, emails, and/or phone calls from this office.
*required
Testimonials_image_sidebar_item
PROCEDURES
  • General Dental Procedures
  • Dental Cleanings
  • Composite Fillings
  • Amalgam Fillings
  • Tooth Extractions
  • Cosmetic Dentistry
  • Teeth Whitening
  • Dental Veneers
  • Dental Bonding
  • Advanced Dentistry
  • Dental Implants
  • Dentures: Full & Partial
  • Restorative Dentistry
  • Dental Inlays and Onlays
  • Porcelain Crowns
  • Dental Bridges
  • Root Canal Therapy
  • Preventative Dentistry
  • Periodontal (Gum) Disease
  • Dental Exams and X-Rays
See all procedures
  • Bellefontaine Dentist
  • Meet the Doctor
  • Our Practice
  • Procedures
  • Smile Gallery
  • Appointment Request
  • Testimonials
  • Faqs
  • Links
  • Contact Us
  • Site Map
  • Accessibility Link
  • VivioSites Privacy Policy
Find the best Bellefontaine OH dentist, Dr. Rashidi, to care for all of your dental needs! Visit our dental office for your smile today.
Hamid Rashidi, DDS
Family and Cosmetic Dentistry
Dental Web Design by Vivio Sites.